Une délégation gouvernementale composée du ministre de l’eau et des mines Samou Seidou Adambi et le ministre de la décentralisation et de la gouvernance locale Alassane Seidou, était le mardi 26 janvier 2021, dans les départements du Mono et du Couffo. L’objectif était pour les deux autorités ministérielles, d’entretenir les collectivités territoriales desdits départements...
Le nouveau Directeur Départements du Tourisme, de la Culture et des Arts (Ddtca) de la Donga et de l’Atacora, Imadou-dine Moussoulloumi Traoré, a rendu une visite de courtoisie au maire de la commune de Natitingou Taté Ouindéyama,. C’était le mercredi 27 janvier 2021. L’occasion était saisir pour le Ddtca de présenter sa vision pour la promotion de la culture à l’autorité...
Pour mieux assurer la gestion de la campagne médiatique entrant dans le cadre de l’élection présidentielle du 11 avril prochain, la Haute Autorité de l’Audiovisuel et de la Communication (Haac), a décidé d’outiller les conseillers et les cadres de cette institution, sur leur rôle. Ils prennent part à cet effet, du 28 au 30 janvier 2021, à un séminaire préparatoire. En proc...
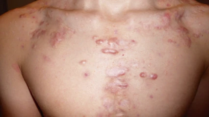
Très souvent présentes sur la peau, les chéloïdes sont des tumeurs qui surviennent après la cicatrisation d’une plaie. Elles apparaissent sur différentes parties du corps humain, la tête, le cou, les bras et dépendent généralement de l’organisme qui les reçoit. Les chéloïdes, lorsqu’elles s’hypertrophient peuvent provoquer d’autres complications selon les spéci...
La députée Mariam Chabi Talata Zimé a été désignée par son parti Union Progressiste (Up), pour être candidate au poste de Vice-Président (Vp) du duo conduit par le président Patrice Talon, à l’élection présidentielle du 11 avril prochain. C’est à travers une décision portant désignation du candidat de l’Union Progressiste (Up) aux fonctions de Vice-Président (Vp) de la Rép...
Le parti Forces Cauris pour un Bénin Émergent (Fcbe) est enfin prêt, à véritablement participer à l’élection présidentielle du 11 avril prochain. A cet effet, le Bureau Exécutif National (Ben) a approuvé la désignation du duo Soumanou Djemba-Paul Hounkpè, faite par le Bureau Politique National (Bpn), pour défendre les couleurs de ce parti pour cette compétition électorale. Ce duo a ét...
Le rapport sur l’Indice de Perception de la Corruption (Ipc) dans le monde pour le compte de l’année 2020, est désormais disponible. Il a été rendu public le jeudi 28 janvier 2021. Selon le classement, le Bénin est passé de la 80ème place en 2019, à la 83ème place en 2020 sur 180 pays. Ces chiffres montrent que le Bénin est en dessous de la moyenne, ce qui lui a fait régresser de 3 pl...
Le parti Forces Cauris pour un Bénin Emergent (Fcbe) a procédé le mercredi 27 janvier 2021, à la désignation du duo candidat pour l’élection présidentielle du 11 avril prochain. Le jeudi 28 janvier 2021, à l’occasion de la réunion du Bureau Exécutif National (Ben) du parti, trois points étaient inscrits à l’ordre du jour dont, la validation du duo présidentiel des cauris. Pour Théophile Yar...
L’élection présidentielle du 11 avril prochain, a révélé la bombe qui est enterrée depuis l’avènement du récépissé du parti Forces Cauris pour un Bénin Emergent (Fcbe). Les révélations ont envahi la toile au mépris des règles qui régissent les regroupements et associations en République du Bénin. Le choix du duo candidat, déchire les vieux amis et complices de l’historique...
Vendredi de paix à vous!
Les faits se sont produits dans la matinée de ce jeudi 28 janvier 2021 au Lycée Mathieu Bouké de Parakou. Alors qu’ils étaient en pleine composition pour le compte des deuxièmes devoirs surveillés du premier semestre, une surveillante de salle a surpris un élève en pleine tricherie. Rappelé à l’ordre dans un premier temps selon nos confrères de Urban Fm, l’apprenant a été...
Kadiri Gandé Batta, jeune politique de la cité des Kobourou fait partie des fidèles disciples du chantre de la rupture, le président Patrice Talon. A cet effet, il donne raison au président Talon qui pense qu’il faut réorienter les formations et que seules les formations techniques et Professionnelles ouvrent les portes à l’auto emploi. Et c’est pour donner un sens à cette...